もくじ
午前 問16
MRCP像を示す。
正しいのはどれか。
- T1強調像である。
- 胆囊管は描出されていない。
- ガドリニウム造影剤を用いる。
- 総胆管結石は高信号に描出される。
- 消化管内の液体信号を消すために陰性造影剤を用いる。
解説
- T2強調像である
- 胆囊管や胆嚢、膵管などが描出されている
- 造影剤を使用せずに描出できる
- 総胆管結石は低信号に描出される
答え 5
午前 問17
頸部MRA像を示す。
矢印で示すのはどれか。
- 外頸動脈
- 総頸動脈
- 椎骨動脈
- 内頸動脈
- 脳底動脈
解説
答え 3
午前 問18
乳房の超音波検査について正しいのはどれか。
- 検査前は絶食にする。
- 3.5~5MHzの周波数を用いる。
- コンベックス型プローブを用いる。
- プローブは皮膚面に対して直角に当てる。
- マンモグラフィと比べて微小石灰化の描出に優れている。
解説
- 絶食の必要は無い
- 7.5~15MHzの周波数(リニア型プローブ)を用いる
- マンモグラフィは微小石灰化の描出に優れている
答え 4
午前 問19
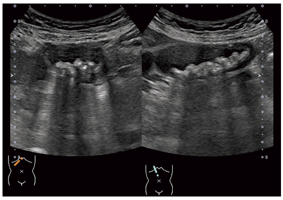
胆囊の超音波像を示す。
考えられる疾患はどれか。
- 胆泥
- 胆囊結石
- 壁内結石
- 胆囊腺筋腫症
- コレステロールポリープ
解説
胆嚢内に高エコーの丸い複数の固形物であることから、選択肢内から胆嚢結石と考えられる
答え 2
午前 問20
無散瞳眼底写真について正しいのはどれか。
- 網膜動脈は静脈より太い。
- 網膜動脈は高血圧で太くなる。
- 中心窩は黄斑部で観察される。
- 網膜動脈と静脈は黄斑部に集まる。
- 黄斑部は視神経乳頭より鼻側に位置する。
解説
- 網膜動脈は静脈より細い
- 網膜動脈は高血圧で細くなる
- 網膜動脈と静脈は視神経乳頭に集まる
- 黄斑部は視神経乳頭より外側に位置する
答え 3

