もくじ
午前 問21
MRIの磁化率アーチファクトを抑制する方法で正しいのはどれか。
- TEを長くする。
- スライス厚を厚くする。
- 受信バンド幅を狭くする。
- ピクセルサイズを大きくする。
- GRE法ではなくSE法を用いる。
解説
- TEを短くする
- スライス厚には影響しない
- 受信バンド幅を広くする
- ピクセルサイズには影響しない
答え 5
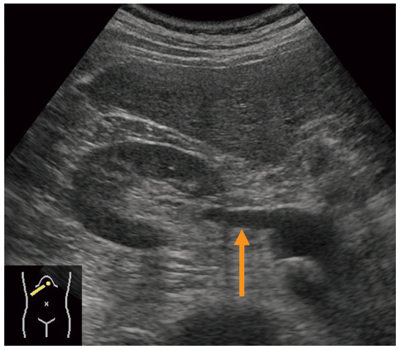
午前 問22
健常成人の右肋弓下走査の超音波像を示す。
矢印で示すのはどれか。

- 門脈
- 総胆管
- 右尿管
- 右腎静脈
- 腹部大動脈
解説
右の腹部大動脈から分岐して腎臓へと伸びているので右腎静脈と考えられる
答え 4
午前 問23
超音波検査で正しいのはどれか。
- 胆囊の検査の基本体位は右側臥位である。
- 心臓の検査にはセクタ型プローブを使用する。
- Bモード法では連続波の超音波ビームを用いる。
- 膵臓の検査は炭酸ガスで胃を膨らませてから実施する。
- STCの調整により距離分解能を改善することが可能である。
解説
- 胆囊の検査の基本体位は仰臥位もしくは左側臥位
- Bモード法ではパルス波の超音波ビームを用いる
- 膵臓の検査は炭酸ガスは使用しない
- STCの調整により方位分解能を改善することが可能
答え 2
午前 問24
MRIのIR法で正しいのはどれか。
- IRパルスとして90度パルスを使用する。
- FLAIR法は自由水の信号を抑制する目的で使用する。
- STIR法は脂肪信号を特異的に抑制することが可能である。
- 信号を抑制したい組織の縦磁化がゼロになる時間にTRを設定する。
- 組織間の共鳴周波数の差を利用して特定組織の信号を抑制する手法である。
解説
- IRパルスとして180度パルスを使用する
- STIR法は脂肪信号と同じ縦緩和時間の組織全てを抑制する
- 信号を抑制したい組織の縦磁化がゼロになる時間にTI(反転回復時間)を設定する
- 縦磁化を反転させ、回復過程を90度パルスで観測することで、特定の組織の信号を抑制する手法
- 組織間の共鳴周波数の差を利用して特定組織の信号を抑制する手法はCHESS法
答え 2
午前 問25
ポジトロン放射性薬剤で正しいのはどれか。
- 13N-NH3は血液量を反映する。
- 18F-FDGは酸素代謝を反映する。
- 15O-O2ガスは糖代謝を反映する。
- 15O-CO2ガスは血流量を反映する。
- 15O-COガスは酸素消費量を反映する。
解説
- 13N-NH3は血流量を反映する
- 18F-FDGは糖代謝を反映する
- 15O-O2ガスは酸素代謝を反映する
- 15O-COガスは血液量を反映する
答え 4